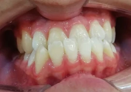
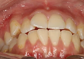
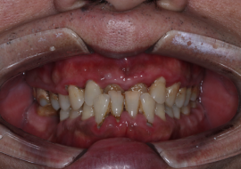
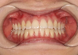
@ Sini
專業團隊 技術好
呢排牙齒終於整好咗,真繫好開心!之前因為牙齒參差,笑都唔敢大笑,生怕人地盯住我哋牙看,成日都覺得好自卑。自從去咗春分口腔,開始咗牙齒矯正之後,感覺真系唔一樣。醫生同護士都好專業好耐心,每次複診都詳細解釋進展同我知,令我十分放心。整個過程雖然要戴牙套,但系技術進步真系快,幾乎無乜好大嘅不適感,而且效果都系即時可見,越黎越有動力。而家牙齒整齊之後,笑起嚟都自信好多,不用再躲躲藏藏,真繫好感激春分口腔嘅醫師。如果你哋都有牙齒問題,真心推薦呢度,專業團隊,技術一流,值得一試!
Before
After
@ Kali
好滿意 會介紹朋友

之前我嘅牙齒真係令我好自卑。呢個矯正過程雖然花咗一段時間,但真係值得。最初戴緊啲矯正器嗰陣,係有啲唔習慣,好似有時會感覺牙肉痛,但醫生同我講係正常反應,教咗我啲舒緩方法,慢慢我就適應咗。最驚喜就係,每次複診,醫生都有同我講有進步,見到牙齒慢慢整齊,心情都變好咗。呢個過程讓我意識到,堅持同耐心真係好重要。現在牙齒整齊咗,笑起嚟都自信好多,朋友都話我比之前更加精神。呢個矯正效果,我真係好滿意,覺得好專業,醫生同工作人員都好盡責,有問必答,好有耐心。如果將來有朋友需要矯正牙齒,我一定介紹佢哋嚟呢度。總之,呢次嘅牙齒矯正經歷,真係令我滿意,好開心終於擺脱咗之前嘅自卑日子。

Before
After
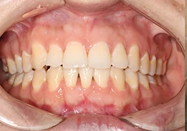
@ ‌Luna‌
服務好 耐心
做呢個矯正手術,一開始都繫有啲擔心同緊張,但系醫生同護士都好好,一直好耐心解答我所有問題,令我感覺好放心。 過程入面,有啲酸痠痛痛,但系呢個都系正常嘅,醫生有教咗我好多術後既護理方法,感覺就好舒服好多。 最滿意嘅系,效果真系顯而易見,見到自己嘅牙齒變得整整齊齊,都繫好驚喜既。 如果都有牙齒不整齊既朋友,我真系推薦佢哋都試試呢個矯正方法,效果真繫好驚豔!現在,我再唔需要怕笑,仲同朋友一齊拍照都仲意露齒大笑,呢個變化真系令我生活開心咗好多。
Before
After
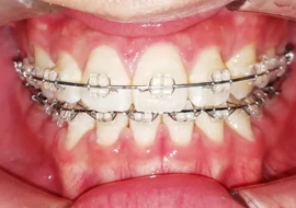
@ Paul
自信笑容 专业 耐心
呢個治療過程真繫好耐,但系終於等到呢一刻啦!阿嫂嘅牙齒現在變得好整齊,再唔使擔心人地睇到自己嘅“齙牙”啦。呢個效果真系值得等待,佢現在都仲話自己好似變咗一個人咁,笑容都自信咗好多。每次見到佢笑,都覺得佢個心情都好靚好多。阿嫂話矯正牙齒雖然有少少痛,但繫結果真系滿意,好感謝醫生同工作人員,佢地專業同耐心,令到呢個過程變得順利好多。現在阿嫂都推薦咗好多朋友嚟做矯正,希望大家都同佢一樣,可以擁有一個美麗嘅笑容啦!
Before
After
59503720